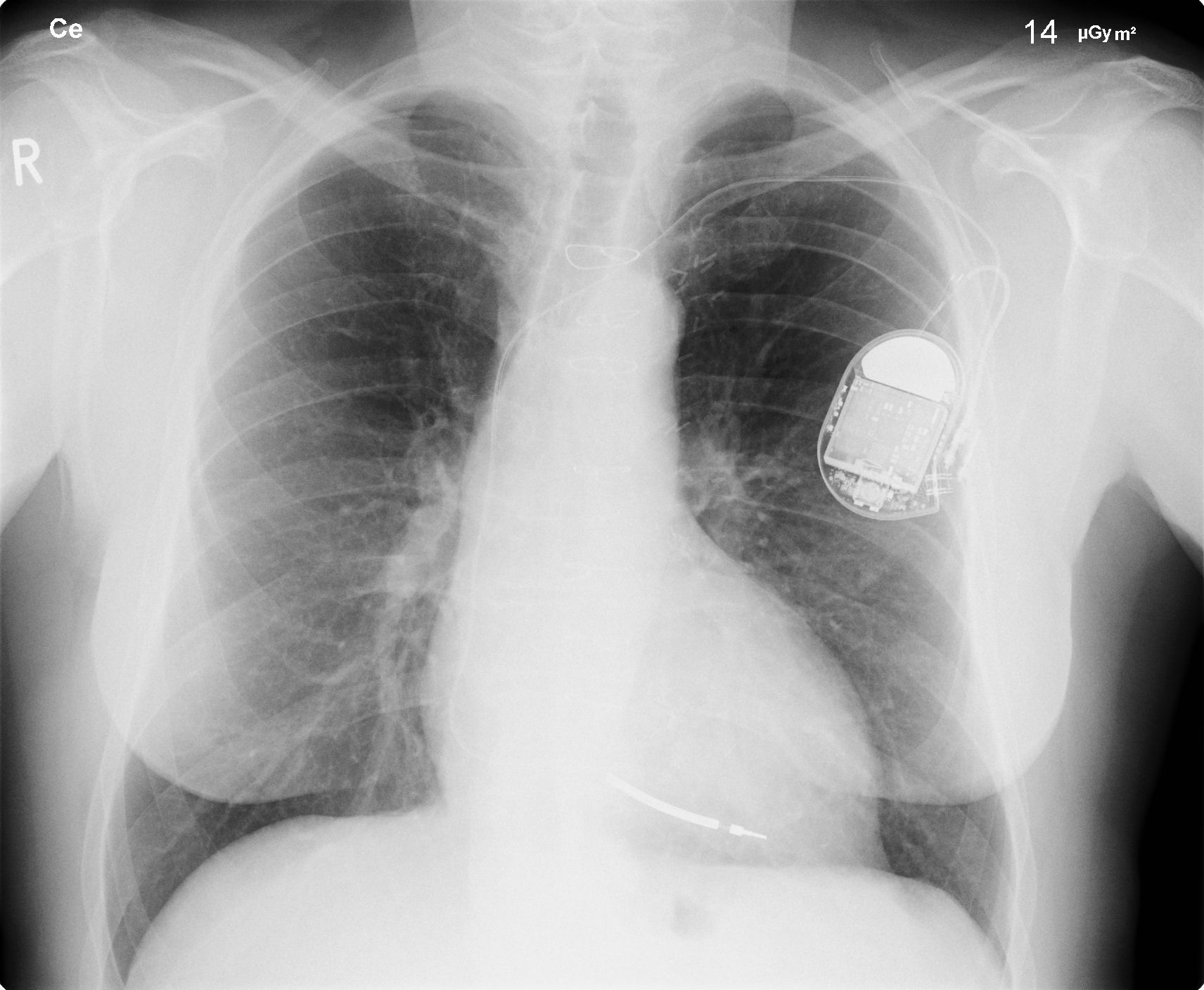
As another sign that the world is becoming interconnected on a terrifying level, nearly 500,000 pacemakers were recalled by the US Food and Drug Administration due to hacking risks. Usually, people perceive hackers as a threat with regards to emails, online banking activities, and identity theft. Now, it would seem that computer wizards can shut down a person’s heart if they wanted to.
The recall is due to fears by the FDA that the roughly 465,000 pacemakers made by the company Abbot are vulnerable to hacking due to lax security in the units, The Guardian reports. Before anyone starts thinking that this would mean hundreds of thousands of people are going to get their chests sliced open and the pacemakers taken out, however, this isn’t exactly a standard recall.
For starters, the recall is only a means of getting the word out and forcing the company to actually issue a firmware update. This update would then come with security patches in order to cover the holes that hackers could exploit.
The good news is that so far, no cases of outside tampering of the pacemakers have been found. This could either mean that hackers have not been able to find the holes, to begin with, or they just chose not to mess with the pacemakers.
Even so, the US Department of Homeland Security is still concerned. As a result, it issued a statement saying that “it is recommended that healthcare providers discuss this update with their patients and carefully consider the potential risk of a cyber security attack along with the risk of performing a firmware update”.
In its own statement, Abbott reaffirms that it is committed to making sure that all security vulnerabilities are addressed, Fortune reports. It’s fortunate that the problem was discovered in time before an incident had occurred that cost lives.


SoftBank Shares Surge as AI Optimism Lifts Asian Tech Stocks
South Korea Sees Limited Impact From New U.S. Tariffs on Advanced AI Chips
Morgan Stanley Flags High Volatility Ahead for Tesla Stock on Robotaxi and AI Updates
Nintendo Stock Jumps as Switch 2 Becomes Best-Selling Console in the U.S. in 2025
Rewardy Wallet Integrates 1inch Swap API to Enable Gasless, Optimized Token Swaps
Baidu Shares Surge After Official Launch of Advanced Ernie 5.0 AI Model
California Governor Gavin Newsom Launches Review Into Alleged TikTok Content Suppression After U.S. Ownership Deal
Samsung Set to Begin HBM4 Production for Nvidia and AMD
China Halts Shipments of Nvidia H200 AI Chips, Forcing Suppliers to Pause Production
Memory Chip Shortage Drives Higher Gadget Prices and Weakens Global Tech Demand
Ericsson Plans SEK 25 Billion Shareholder Returns as Margins Improve Despite Flat Network Market
Nvidia CEO Jensen Huang Plans China Visit Amid AI Chip Market Uncertainty
Apple Stock Jumps as Company Prepares Major Siri AI Chatbot Upgrade
Apple China Holiday Sale Offers Discounts Up to 1,000 Yuan on Popular Devices
U.S. Lawmakers Demand Scrutiny of TikTok-ByteDance Deal Amid National Security Concerns
Tesla Plans FSD Subscription Price Hikes as Autonomous Capabilities Advance
Elon Musk Seeks $134 Billion in Lawsuit Against OpenAI and Microsoft Over Alleged Wrongful Gains 



